Trabajo de primera línea

Integrado por veterinarios, fisioterapeutas, laboratorio y herreros

Servicios

Se realizan planes sanitarios, vacunaciones, test de anemia infecciosa equina, diagnóstico de claudicaciones, anestesias tronculares, infiltraciones articulares y de columna, castraciones.

20 años de trayectoria...

Cuenta nuestra veterinaria directora del equipo médico, especializada en este rubro, brindando el mayor profesionalismo en el área.

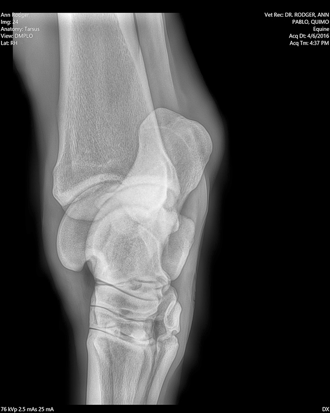
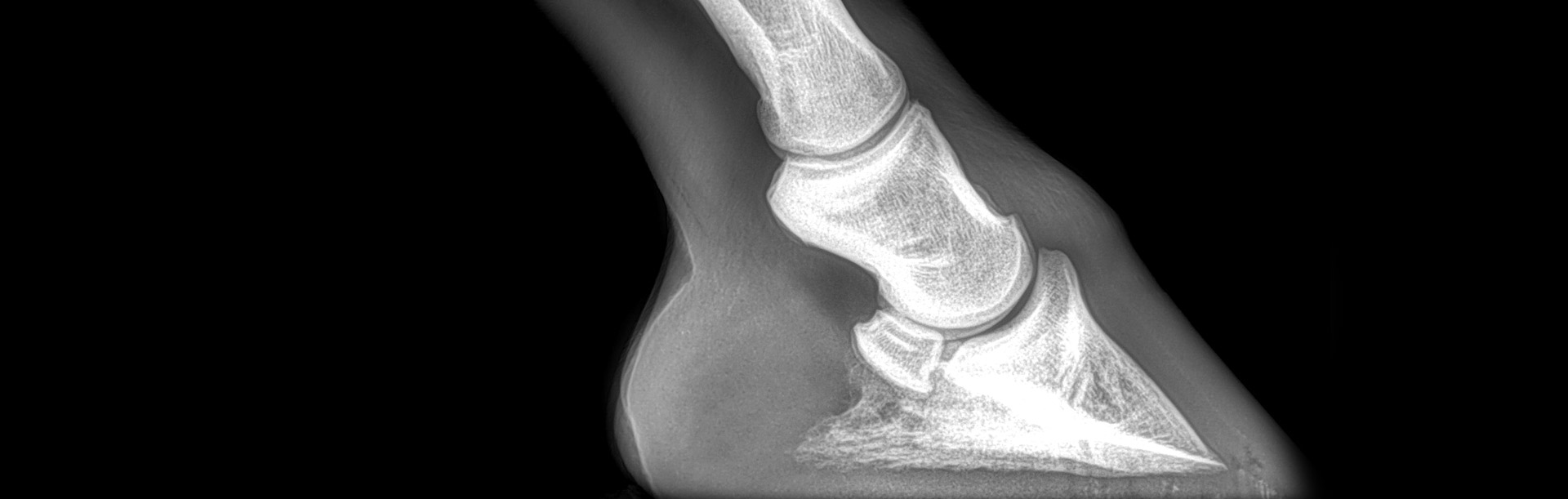
Radiología

Contamos con el equipo de radiología digital inalámbrico más avanzado del país, el cual permite obtener las mejores imágenes en el acto y compartirlas vía mail. Realiza radiografías de miembros, columna, cabeza, cuello y hombro.

Ecografía

Cuenta con Ecografía digital de alta complejidad.

17 años de experiencia siendo una de las ecografistas más reconocidas en la práctica de equinos. Realiza pasantías en la universidad de Davis California y en Mid-Atlantic Equine Medical Center en New Jersey.

Nosotros

Somos un equipo de trabajo de primera línea integrado por veterinarios, fisioterapeutas, laboratoristas y herreros. Realizamos tratamientos de avanzada, como la aplicación de células madre a partir de médula ósea o cordón umbilical, o plasma rico en plaquetas (PRP). Contamos con un laboratorio portátil con lo que podemos realizar estos tratamientos en el momento.

Dra. Ann Rodger

Dr Ann Rodger Médica veterinaria egresado de la universidad de Bs.As. UBA

20 años de experiencia. Veterinaria FEI. A cargo de los caballos que participaron en Americano San Pablo 2008, Children Chile 2009, Juegos Panamericanos en Canadá 2015 y los Juegos Olímpicos Río 2016.

Veterinaria del concurso Haras El Capricho. Se especializó en UC Davis Universidad de California con el Dr. Jack Snyder; en Palm Beach con el Dr. John Steel; Mid Atlantic Equine Medical Center, New Jersey.

Equipo

Consultores
Dr. Carlos Espinosa Bushiazzo Cirujano
Dr. Rodolfo Patelli Clínico
Dra. Ariela Walkoski Clínica y anestesista
Dra. Cecilia Bel Laboratorio
Asistentes
Dr. Juan Manuel Fanego
Dra. Ágata Parsons Aubone
Dra. Paula Dawidowicz

Galería

Contáctanos

Dra. Ann Rodger

(054) 011 6631-0800 [email protected]

Si tenés alguna duda o consulta por nuestros servicios, no dudes en consultarnos.

WhatsApp